Blog
(647) 930-5884

Bleeding After Tooth Extraction: A Guide to Stopping the Flow
Seeing blood after a tooth extraction can be stressful, especially if you’re not sure what’s normal and what’s not. Many patients worry that something has

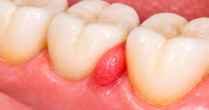
Everything About Gum Flaps Between Teeth & Treatment Options
Have you ever noticed a small piece of gum sticking up or folding between your teeth and wondered if it’s normal? These are commonly known

Does the CDCP Covers Root Canals or Crowns?
This is a question that has occupied the minds of many patients and may currently be your concern as well: Does the CDCP cover root

Canadian Dental Care Plan Renewal: Eligibility, Deadlines, and Steps
The CDCP renewal is an important yearly step if you’re part of the federal dental benefit program. It helps you keep your dental coverage active

Turmeric for Teeth: How It Affects Tooth Color and Stains
Many people see influencers brushing with turmeric paste or mixing it with coconut oil, promising bright, stain-free smiles. But is turmeric actually good for your

What Are the Types of Dental Veneers?
When you’re considering dental veneers to improve your smile, there are many types to choose from. Dental veneers have become one of the most popular

Everything About Black Spots on Teeth and How to Treat Them
Black spots on teeth can be worrying, especially when you’re unsure whether they’re just stains or early signs of decay. Many people first notice a

Dental Veneers vs. Laminates: What’s the Difference?
Dentists often find patients weighing dental veneers vs laminates to achieve a smile that appears bright and naturally beautiful. This can create many questions for

The Best Denture Cleaners for Daily Use
It is crucial to select the best denture cleaner for your daily use to keep your dentures healthy and clean, and ensure your overall health

How to Remove Amoxicillin Stains from Teeth
Amoxicillin is a popular antibiotic that might result in unwanted yellow to brown spots on the teeth. If you’ve also suffered from these annoying spots

Flexible Partial Dentures for Upper Teeth: Key Benefits
Losing teeth in the upper jaw can have many unpleasant effects on your life. It is not only something you will notice when you look

How to Relieve Pain from Dental Implants
Pain from dental implants may be concerning, especially if you are not sure what the expected pain should be and how to cope with the

Toothache at Night: Best Sleeping Positions for Relief
Having a toothache at night makes it very difficult to sleep. Pain from the toothache gets worse as soon as you lie down to sleep.

How to Choose the Best Toothbrush
Selecting the right toothbrush can make a big difference to your dental care as well as prevent oral problems. With so many shapes, designs, and

Government Dental Coverage for Canadian Seniors
Access to affordable dental care is a growing concern for senior citizens, especially those without private insurance. Under the new dental coverage for Canadian seniors,

Teeth Whitening for Smokers: The Best Options
If you smoke, you’ve likely noticed how stubborn yellow or brown stains can dull your smile. Smoking stains are among the toughest to remove, but

Healthy Smiles Ontario: Services and Coverage Explained
Every child deserves access to proper care, as maintaining children’s dental healthshould never be limited by financial barriers. Healthy Smiles Ontario is a free dental
Patient Testimonials
sina ebTrustindex verifies that the original source of the review is Google. The hygienist was friendly and professional. My teeth feel super clean and the whole visit was comfortable. MOHAMMAD SHTrustindex verifies that the original source of the review is Google. The cleaning was quick, gentle, and very thorough. My teeth feel fresh and look much better after the appointment. Carlossi NdTrustindex verifies that the original source of the review is Google. did a great job on my teeths will recommend to everyone. Zack ChomynTrustindex verifies that the original source of the review is Google. I had the pleasure of experiencing unparalleled patient care with Dr. Strugurescu, a distinction that truly sets him apart. In our family's moments of need, Dr. Strugurescu provided not only exceptional flexibility and expertise but also tailored care plans that are a rare find in today's healthcare landscape. This level of dedication and personal attention is genuinely extraordinary. The fish are very calming too! Joey ThompsonTrustindex verifies that the original source of the review is Google. Dr. Strugurescu office continues to provide the best dental services to my family. Always professional, respectful, and compassionate!! We would like to acknowledge "Geethu" today for her exceptional customer service and diligence in solving a claim issue for us! Her phone etiquette always friendly and welcoming! Thank you !! klein ovidiuTrustindex verifies that the original source of the review is Google. Dr. Strugurescu has been my family’s dentist since 2008. Over the years each visit has been a great experience and we never felt under treated medically and personally. Very approachable and most of all knowledgeable with very great bed manners. Highly recommend his services to anyone in need of a doctor in dentistry. V VVTrustindex verifies that the original source of the review is Google. Very welcoming people, makes sure yua are comfortable bedore receiving treatmwnt. Great service and lovele people. Diana BaraTrustindex verifies that the original source of the review is Google. A big thank you to Dr. Michael Strugurescu's clinic on Danforth Avenue who we've clients for over a 15 years now. His impressive background and warm approach make every appointment a breeze. Whether it's cosmetic or family dentistry, Dr. Strugurescu's got you covered with a smile. If you're in Toronto and looking for a dentist who combines expertise with a personal touch, look no further!