Replacing missing teeth with dentures is a common and effective solution, but getting used to them can take time. When you first start wearing them, it’s not unusual to feel a bit of discomfort. One of the most common annoyances is little painful spots called denture sores. They pop up from pressure, bacteria build-up, or just your denture not fitting right.
The good news? There are easy ways to ease the pain and simple treatments to stop things from getting worse. Stick around as we’re going to show pictures of denture sores, so you know what you are seeing in the mirror is a denture sore or not.
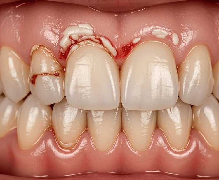
Pictures of Denture Sores
Here you can see some of the pictures of denture sores:



What Denture Sores Look Like
Dental sores usually appear as red or irritated spots on your gums where dentures rub. Some may have small bumps, swelling, or tiny ulcers, and they can feel sore or uncomfortable when you eat or talk. Checking for these early can help prevent bigger problems.
Are you in Toronto and dealing with denture pain? Danforth Dental Centre at 745 Danforth Ave sees denture patients for adjustments and sore treatment, often on the same day. Call (647) 930-5884 or book online.
Different Types of Denture Sores
| Type | Appearance | Common cause | Notes |
| Pressure Sores | Red, sensitive spots | Ill-fitting dentures | Usually on the ridge where dentures press |
| Ulcers | Small open sores | Constant friction | Can be painful, may bleed slightly |
| Allergic Reaction | Redness, swelling | Material sensitivity | Often occur with itching |
| Fungal Lesion | White patches | Poor oral hygiene | May feel sore or burning |

Book Your Consultation Now
Causes of Dental Sores
Denture sores don’t just appear out of nowhere; they usually have clear triggers. Learn about each one of the common causes in full detail, and check out pictures of denture sores to see how they can actually appear.
Allergic Reaction

Sometimes your mouth just doesn’t accept the material your dentures are made of. An allergic reaction can cause redness, swelling, and even sores, kind of like your gums saying, “Nope, I don’t like this.”
Poor Oral Hygiene

If you don’t keep your dentures and mouth clean, bacteria can build up and irritate your gums. All that bacteria and plaque can easily turn into sores.
Prolonged Wear
When you keep your dentures for too long without giving your gums a break, it puts a lot of stress on them. That constant pressure will lead to sore spots that don’t have a chance to heal.
Ill-fitting Dentures
When dentures don’t fit the way they should, they press and rub on your gums in all the wrong spots. That constant pressure makes the skin sore and creates painful little wounds.
Bone and Gum Changes
As we get older, our gums and jawbone can shrink or change shape, which makes dentures fit differently over time. When that happens, even perfectly good dentures can start rubbing and causing painful sores.
Dry Saliva
When your mouth is too dry, dentures start rubbing against your gums more than usual. Without that natural slip, your gums get irritated and sore way more easily.
Need Help with Dentures or Oral Health?
If your denture sores keep coming back, the most common reason is that the denture no longer fits properly. At Danforth Dental Centre in Toronto, we adjust and reline dentures for patients across East York and Greektown. A same-day assessment is often possible.
Signs and Symptoms to Watch for
If you’ve noticed one or more of these signs, there’s probably something wrong with your teeth and dentures that needs immediate attention.
- Pain while eating or speaking
- Redness around the gum
- Cracks or blisters
- Swelling gum
- Ulcers
Treatment Options for Denture Sores
We’re going to talk about a few home remedies and professional treatments to help with dental issues. But let’s get real for a second, these home remedies are just temporary fixes. For the best results, you need to see a professional dentist. Don’t skip expert help.
At-Home Comfort Tips

Try out these easy options for quick recovery at home.
- Store-bought products like aloe vera gel or non-prescription painkillers can help soothe the irritation and make your gums feel more comfortable.
- Salt water rinse can help clean your gums and calm the soreness, making those painful spots feel a bit better.
- Hydration is super important; drinking enough water keeps your mouth moist and helps prevent dentures from rubbing and causing sores.
When to See a Dentist in Toronto about Denture Sores
Most denture sores that do not improve within one to two weeks need professional attention. If you are in the Danforth, East York, or Greektown area, the team at Danforth Dental Centre can assess your dentures, check the fit, and treat any sore tissue in one appointment. We accept CDCP and all major insurance with direct billing. Call (647) 930-5884 to book.
How to Prevent Denture Sores
Now that you’ve learned all about the causes of denture sores and how to solve them, let’s get to know how to prevent these annoying spots from popping up.
Ensure Proper Fit
Make sure your dentures actually fit your mouth. If they sit right and don’t wobble, your gums won’t get those annoying rubs and sore spots.
Good Oral Hygiene
Keep your mouth and dentures clean. Brush gently, rinse often, and give bacteria the boot. Your gums will stay happy and fresh.
Maintain a Balanced Diet

Feed your mouth some good stuff! Eating healthy foods helps your gums stay strong and heal faster, so sores don’t stand a chance.
Use Denture Adhesive
Slap on some denture glue to keep things in place. When your dentures don’t slide around, your gums get a break, and those pesky sore spots won’t appear.
Give Your Gums a Break
Take your dentures out for a few hours, especially at night. Let your gums breathe and chill, it’s like a mini spa for your mouth.
Regular Dental Visit
Don’t ghost your dentist! Checking in now and then keeps your dentures fit nicely and catches any potential sore before it starts.

Book Your Consultation Now
Say Goodbye to Denture Sores
Denture sores are annoying, but the good news is you don’t have to put up with them. With a bit of care, dentures that actually fit, and a few easy habits, your gums can stay happy and your smile confident. Check out pictures of denture sores to better understand what to watch for, and take these small steps now, your mouth will totally thank you later!
If you’re looking for a longer-term solution to improve your smile and avoid denture discomfort, consider exploring cosmetic options like dental veneers. At Danforth Dental Centre, we offer advanced dental veneer services to restore your smile and comfort.
FAQ
-
Are denture sores common?
Yep, denture sores are more common than you’d think. A lot of people get them at some point, especially when their dentures aren’t fitting just right.
-
What do denture sores look like?
Denture sores usually show up as red, irritated spots on your gums where the dentures rub. Sometimes they can be a bit swollen or even have a small bump, and they might feel sore or ouchy when you eat or talk.
-
Can you get sores from dentures?
Yes! Dentures can definitely cause sores, especially if they don’t fit right or rub against your gums too much. Even the best dentures can lead to irritation if your mouth isn’t used to them yet.
-
What are the oral lesions associated with dentures?
Oral lesions from dentures are basically spots where your gums get irritated or damaged. They can show up as red patches, small bumps, or even tiny ulcers, usually where the dentures press or rub the most.
-
What are the signs of ill-fitting dentures that can result in painful sores?
One clear sign is when your dentures keep slipping or rubbing in the same spots, causing red, sore areas on your gums. If you ignore them, those spots can get worse and even lead to infections, so it’s a good idea to see your dentist.
-
How long do denture sores take to heal?
Most denture sores begin to improve within a few days once the source of irritation is removed. Minor sores often heal in 7 to 14 days. If the denture continues to rub against the same area, healing may take longer, or the sore may worsen.
-
Can denture sores be treated at home?
Mild denture sores can often be managed at home by removing dentures at night, rinsing with warm saltwater, and keeping them clean. However, home care only helps relieve symptoms. If the denture does not fit properly, a professional adjustment is usually needed.
-
When should I see a dentist for denture sores?
You should see a dentist if the sore lasts longer than one to two weeks, becomes increasingly painful, shows signs of infection, or makes it difficult to wear your dentures.
-
How do I know if my denture needs adjusting?
Your denture may need adjusting if you notice recurring sore spots, pain while chewing, looseness, clicking, difficulty speaking, or the denture shifting when you eat or talk. Changes in the shape of your gums and jaw over time can affect the fit, which makes periodic adjustments an important part of denture care.
Have you ever experienced denture sores or irritation? Share your experiences in the comments below. We’d love to hear how you manage them!


